GLAUCOMA

Glaucoma is a group of diseases that affects the optic nerves (connections to the brain). It is called the silent thief of sight because it takes away vision such that it is not noticed at the early stage. Many persons with glaucoma usually notice symptoms when the disease is at the end stage.

Since 2020, the number of people with glaucoma worldwide has surpassed 80 million, and is expected to pass 111 million by 2040. It is the second leading cause of blindness after cataracts, and this blindness is irreversible. According to the Nigerian National blindness Survey, glaucoma is responsible for 16% of blindness.

Glaucoma can be;

  • primary and
  • secondary

Primary glaucoma is when the cause cannot be identified. Many cases of glaucoma are primary.

Secondary glaucoma can be caused by factors such as trauma, complications from diabetes, prolong use of steroids. However, there are risk factors which includes family history (especially first-degree relatives), age (40 years and above).

Glaucoma could also be open-angle or closed angle glaucoma.

Open-angle glaucoma is usually painless compared to closed angle glaucoma. In 2020, it was estimated that 57.5 million people worldwide were affected by primary open-angle glaucoma, and the population of closed angle glaucoma was 17.14 million for people older than 40 years old.

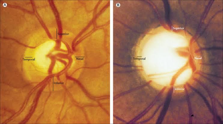
Intraocular pressure IOP (eye pressure)

Statistically, the normal eye pressure is between 10 -21 mmHg.  When the IOP is higher, it could lead to glaucoma. However, you can have normal IOP and still have glaucoma.

Symptoms

There are No symptoms.

Usually, there are no symptoms at the early stage. This is why it is labeled the silent thief of sight. It causes a gradual deterioration of vision which may be noticed at the later stage of the disease. Vision loss begins at the periphery field of view. Persons with moderate to severe may complain of bumping into things they could not see at their peripheral view.

It may eventually lead to total blindness or complete loss of vision. Again, blindness from glaucoma is irreversible.

Treatment

The aim of the treatment of glaucoma is to prevent further damage to the optic nerve. Any vision lost from glaucoma can never be regained.

The modes of treatment are medical and surgical. The eye care professional would decide the best method of treatment depending on the type and stage of the disease.

Early detection is the best management for glaucoma. Therefore, everyone should go for screening.

Leave a Comment

Your email address will not be published. Required fields are marked *